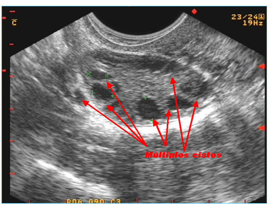
Cistos de ovários são óvulos em formação que não evoluíram durante sua transformação de células germinativas, para óvulos maduros. No quadro abaixo vemos inúmeros cistos em um ovário de uma garota de 17 anos

A primeira referência sobre a existência de cistos ovarianos foi descrito por Stein & Leventhal em 1935, examinando 7 pacientes com amenorréia, hirsutismo e ovários aumentados de volume com características policísticas (04 obesas) Ele também descreveu os achados patológicos clássicos:

Fisiopatologia Ovariana:
Os óvulos maduros são produzidos com a maturação das células germinativas ovarianas, que são estimuladas pelo Hormônio Folículo Estimulante (FSH) e produzido na Hipófise. Para cada óvulo maduros, são desperdiçados até 3.000 folículos. (Quadro 2)

Quadro 2 - FSH e o amadurecimento folicular
Assim que o folículo amadurece, ele forma o Corpo Lúteo que irá produzir a Progesterona e o Estradiol, para fixar o óvulo no útero e casa haja fecundação para proteger e nutrir a gravidez. A progesterona por sua vez produz a Testosterona que também entra no ciclo da manutenção do futuro bebê. (Quadro 3)

Quadro 3 - LH e a liberação do óvulo
Finalmente o Hormônio Luteinizante irá expelir o óvulo maduro para fora do Corpo Lúteo e este se encaminhará ao útero a fim de esperar a fecundação. (Quadro 4). Caso ele seja fecundado, o óvulo produz a Gonadotrofina Coriônica (HCG) que irá proteger a fecundação e broquear os hormônios que liberam a menstruação, pois senão poderá haver o abortamento do óvulo fecundado

Quadro 4 - Implantação do óvulo fecundado
Caso não haja a fecundação, o óvulo não produz o HCG e o óvulo é então abortado e ocorre a nova menstruação.
Formação do Cisto de Ovário
Caso a mulher apresente TENDENCIA AO DIABETES ou tenha sua INSULINA alta ela poderá alterar totalmente a fisiologia normal da ovulação. Sabemos hoje que a INSULINA é a verdadeira responsável pela formação do Cisto de Ovário, pois ela impede que o Hormônio Luteinizante libere o óvulo do corpo lúteo (Quadro 5). Com isso o óvulo não é eliminado do corpo lúteo e permanece preso no ovário.

Quadro 5 - Formação do Cisto de Ovário
Com a permanência do Corpo Lúteo, este continua a produzir hormônio em excesso, e o organismo da mulher acha que ela está grávida e começa a reter comida e água para o feto. Isso faz com que a mulher comece a engordar no quadril e nas coxas, onde é o reservatório natural de comida para o feto. Daí vem à obesidade e suas conseqüências trágicas. (Quadro 6).
Também o excesso de Testosterona e de Estradiol leva à mulher as características masculina, chegando ao extremo da mudança de personalidade e ao homossexualismo feminino. ( a quase totalidade das esportistas femininas tem Cistos de Ovário, o que melhora seu desempenho, pois a Testosterona em excesso funciona como doping ) Também o excesso de hormônio leva ao aumento do risco relativo do aparecimento do câncer de endométrio além de piorar a tendência ao Diabetes e à Hipertensão Arterial, o que geralmente ocorrer após os 50 anos de idade e que costumam contribuir para o aumento da mortalidade e morbidade feminina.

Quadro 6 - Complicações dos Ovários Policísticos
Para piorar a situação, a permanência do Corpo Lúteo e conseqüente Pseudo Gravidez faz com que a mulher não ovule mais para ela não ter outro filho anexo ao "primeiro". Também como a gravidez é falsa, o organismo tenta abortar o óvulo preso o que acarreta os distúrbios menstruais ( excesso ou irregularidade menstrual) da mulher. Como podemos ver, o Cisto de Ovário é terrivelmente perigoso para a mulher e é um indício precoce (de até 40 anos), que esta mulher terá graves doenças no futuro.
Tratamento dos Cistos de Ovários
O tratamento básico seria evitar a formação de novos cistos, é broquear o aumento da INSULINA, dieta hipocalórica com uso de alimentos de baixo Índice Glicêmico (para evitar a resistência a Insulina), evitar obesidade e ter atividade física constante ( perder 300 calorias por dia em exercícios aeróbicos - caminhadas, bicicleta ou natação )
Infelizmente existe apenas 1 tratamento para evitar o cisto de ovário. É o tratamento com implantes de Elcometrina, que devem ser trocados a cada 6 meses e com a associados da Metformina depois do café da manhã, almoço e jantar. (Quadro 7)
Os demais tratamentos não corrigem corretamente o hiperandrogenismo (aumento da testosterona) e o hiperestrogenismo (aumento do estradiol)

Quadro 7 - Tratamento do Cisto de Ovário com a Elcometrina
Outras causas dos Cistos de Ovários
Qualquer alteração no eixo do Hipotálamo - Hipófise - Supra-renal - Ovário pode desencadear a Síndrome. No Quadro 8 exemplificamos alguns.

Quadro 8 - Causas dos Cistos de Ovários
Tratamento Contra indicado
De todos os tratamentos que existem para a Síndrome dos Ovários Policísticos, a literatura mundial contra-indica o uso das cirurgias como tratamento da síndrome (Quadro 9)
Tais cirurgias apenas removem ou destroem milhares de folículos sadios e contribuem para a menopausa precoce, que também poderá acarretar um câncer precoce. Elas destroem os efeitos, mas não a causa básica.
Tais cirurgias são:

Quadro 9 - Cirurgias contra-indicadas em Cistos de Ovários
Como engravidar com Cisto de ovário?
Para as mulheres jovens e que tenham dificuldade m engravidar, a rotina
é manter o implante de Elcometrina e a Metformina por 2 anos, retirá-lo
e tentar engravidar. Assim que engravidar, procurar um especialista em Fertilidade
para manter a gravidez.BR> O bom da Elcometrina é que a mulher mesmo
a mulher deverá continua usando-a, pois ela não faz mal ao feto segundo
últimas pesquisas.BR> Mas se a paciente tem pressa em engravidar, o uso
da Progesterona Biodisponível entre o 15º ao 26º após a menstruação será útil.